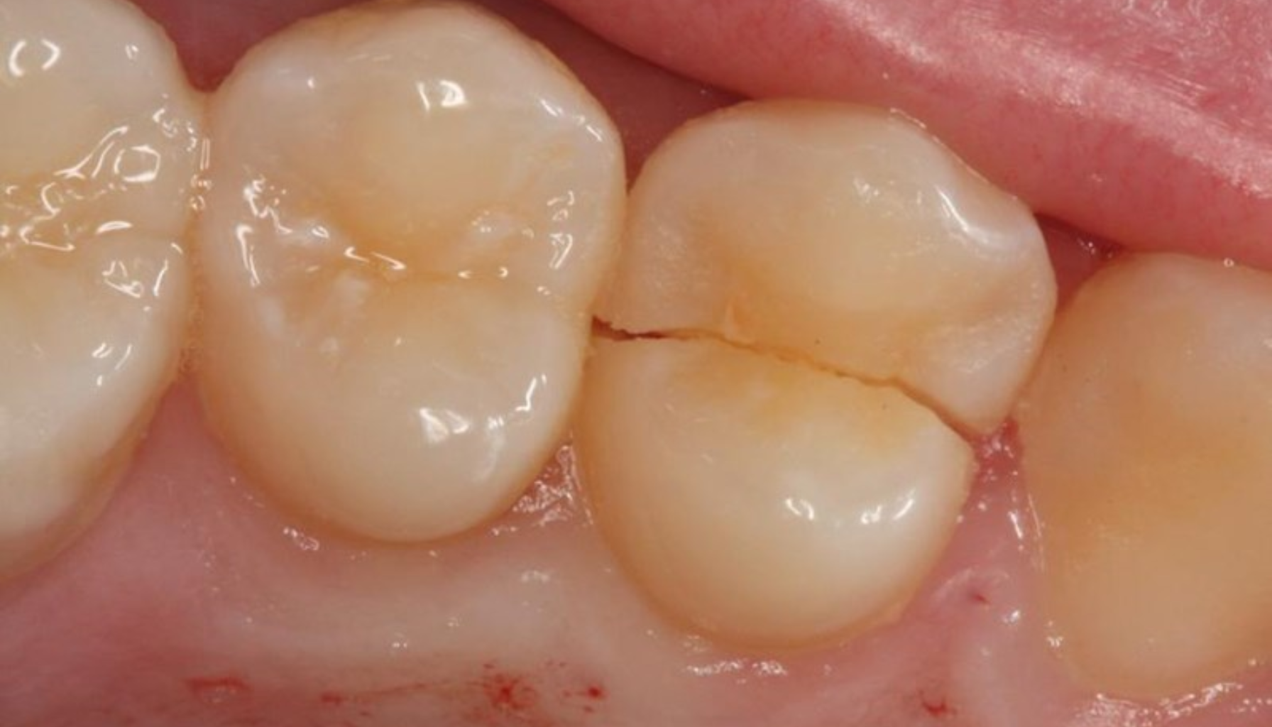
En sprekk i tannen kan være vanskelig å oppdage, men likevel gi sterke symptomer som smerte ved tygging, ising eller ubehag når du drikker noe kaldt.
Mange sprekker begynner som små skader i emaljen, men kan utvikle seg og spre seg ned mot roten dersom de ikke behandles. En sprukket tann skal alltid tas på alvor, siden slike skader kan føre til infeksjoner eller i verste fall tap av hele tannen.
Tidlig vurdering hos tannlege sikrer at sprekken blir stoppet før den utvikler seg til mer alvorlige komplikasjoner.
🦷 Smerte ved tyggepress eller kald drikke
💥 Sprekk kan nå inn til nerven
💬 Ikke alltid synlig for øyet
👨⚕️ Tannlege kan tette og redde tannen
🪥 Unngå harde matvarer inntil behandling
💡 Visste du at?
Små sprekker i emaljen kan være helt uten symptomer men utvikle seg over tid.
Tanngnissing er en av de vanligste årsakene til skjulte sprekker som gir smerte ved tygging.
En krone er ofte nødvendig når sprekken går dypt i tannen og gjør den ustabil.
Tidlig behandling hindrer at en sprekk utvikler seg og gjør hele tannen mer utsatt for skade.
Hva forårsaker sprekker i tennene
Sprekker i tennene kan oppstå av flere årsaker, og mange pasienter merker ikke problemet før symptomene begynner. En av de vanligste årsakene er slitasje over tid. Tenner som har gamle fyllinger kan være mer utsatt fordi fyllingen ikke gjør tannen like sterk som før. Store fyllinger svekker strukturen og gjør det lettere for tannen å knekke når du tygger på noe hardt. Sprukket tann kan også skyldes plutselige skader, som å bite ned på harde matvarer eller uhell som gir direkte slag mot tannen.
Stressrelatert tanngnissing kan også føre til sprekker, spesielt hos personer som presser tenner sammen om natten. Denne belastningen gjør at små sprekker utvikler seg over tid og til slutt når inn mot nerven. Store temperaturforandringer, for eksempel å drikke noe svært kaldt rett etter noe varmt, kan også få emaljen til å utvide og trekke seg sammen raskt. Dette gjør tannen mer utsatt for skade. Dersom tannen har hatt hull eller tidligere behandling, kan den svekkes ytterligere og dermed være mer utsatt for slike skader.
Relatert lesing
Bittskinne effektiv løsning mot tanngnissing og smerter
Tanngnissing øker risikoen for sprekker i tennene og bør behandles for å beskytte tennene mot ytterligere skade.
Tegn på at du har en skjult sprekk
En sprekk i tannen er ofte vanskelig å se, men symptomene kan være tydelige. Smerte som kommer når du tygger, spesielt når du slipper opp trykket, er et av de vanligste tegnene. Dette skyldes at sprekkene åpner og lukker seg når tannen belastes. Andre vanlige symptomer er følsomhet for varme og kulde, ising eller en skarp smerte som kommer plutselig. Dersom sprekken når nerven, kan smertene bli sterkere, og tannen kan reagere på lette berøringer.
Noen pasienter merker også at det kommer ubehag når det oppstår trykk i tannen, for eksempel under tygging av harde matvarer. Sprekker kan også føre til vond smak dersom bakterier kommer inn i sprekken. I mer alvorlige tilfeller kan sprekken være så stor at hele tannen blir ustabil. Det er viktig å oppsøke tannlegen tidlig, spesielt dersom symptomene kommer ofte eller blir verre med tiden. En sprukket tann blir ikke bedre av seg selv og bør derfor behandles så snart som mulig.
Relatert lesing
Vondt i ganen mulige årsaker og når du bør reagere
Smerter i ganen eller rundt tannen kan være relatert til skjulte sprekker som gir belastning i munnens vev.
Behandlingsalternativer hos tannlegen
Valg av behandling avhenger av hvor stor sprekken er og hvordan tannen reagerer. For mindre sprekker som kun sitter i emaljen, kan tannlegen ofte polere eller legge en liten fylling for å stabilisere området. Dersom sprekken er større og når inn mot dentinet, kan det være nødvendig med en krone for å styrke hele tannen. En krone omslutter tannen og hindrer at sprekken utvikler seg eller sprer seg videre.
I tilfeller der sprekken har nådd nerven, kan rotfylling være nødvendig. Dette gjøres for å fjerne infisert nervevev og hindre at bakterier sprer seg til roten. Dersom tannen er svært svekket, kan det også være situasjoner der tannen ikke kan reddes. Likevel klarer tannlegen i de fleste tilfeller å bevare tannen med riktig behandling. Det viktigste er å oppsøke tannlege raskt når symptomene oppstår, slik at skaden kan vurderes før sprekken gjør større skade eller krever mer omfattende behandling.
Relatert lesing
Edge bonding komposittfylling
Moderne fyllingsteknikker kan styrke svekkede tenner og forebygge at små sprekker utvikler seg til større skader.
Hvordan unngå nye sprekker
Forebygging av sprekker i tennene handler både om sterke tenner og riktige vaner. Å unngå harde matvarer eller plutselige temperaturendringer kan redusere risikoen for små sprekker som senere utvikler seg. Dersom du biter negler, tygger på harde gjenstander eller presser tennene sammen, øker risikoen for skade. Mange pasienter opplever sprekker fordi de tygger på noe uten å være klar over at tannen allerede kan være svekket av hull eller gamle fyllinger.
For å forhindre ytterligere skader bør man pusse tennene godt to ganger daglig, bruke tanntråd og regelmessig kontrollere at fyllinger og tidligere behandlinger er stabile. Dersom du gnisser tenner, kan tannlegen anbefale en bittskinne for å hindre belastning på tennene. God munnhygiene og regelmessige tannlegebesøk gir mulighet for tidlig oppdagelse av små sprekker før de utvikler seg til noe mer alvorlig. Det viktigste er å reagere når symptomene oppstår og ikke ignorere tidlige tegn på skade










