Perikoronitt er en betennelse som oppstår rundt delvis frembrutte visdomstenner.
🦷 Vanlig hos unge voksne
🤕 Gir smerter og hevelse
👄 Dårlig smak og vond lukt i munnen
👨⚕️ Tannlegen kan rense og behandle betennelsen
Hva er perikoronitt?
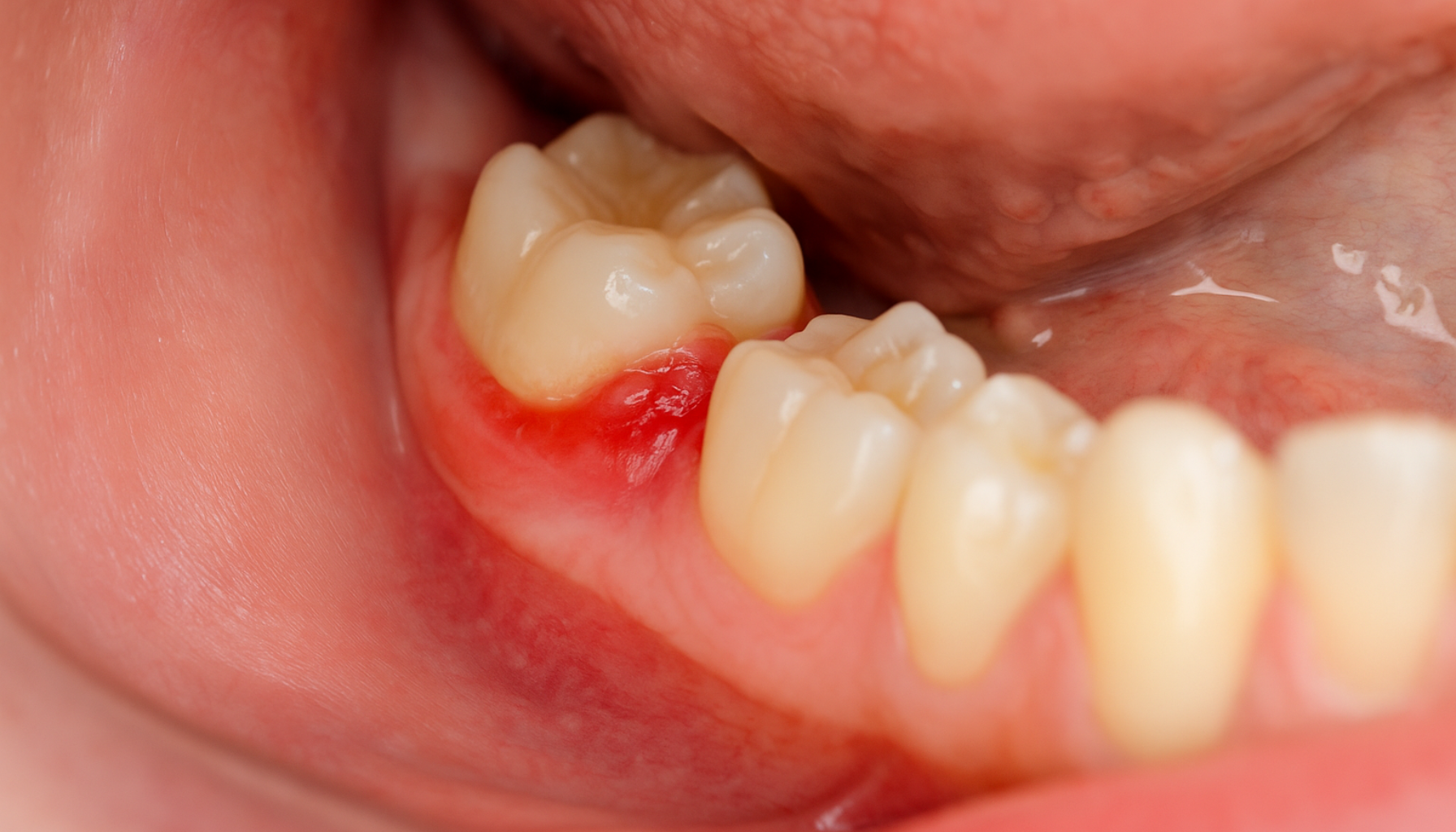
Perikoronitt er en betennelse i vevet som omgir en visdomstann som ikke har kommet helt frem. Når tannen delvis bryter gjennom tannkjøttet, skapes det en liten lomme der bakterier lett kan samle seg. Denne lommen er vanskelig å holde ren, og resultatet kan bli infeksjon og betennelse.
Tilstanden oppstår oftest hos unge voksne, gjerne i alderen 18–25 år, når visdomstennene vanligvis bryter frem. Perikoronitt kan være akutt, med plutselige og kraftige symptomer, eller kronisk, med gjentatte episoder av mildere ubehag.
I tillegg til smerter kan betennelsen spre seg til nærliggende vev og i sjeldne tilfeller gi mer alvorlige komplikasjoner. Derfor er det viktig å være oppmerksom på symptomer og søke behandling tidlig.
Kort forklart: perikoronitt er en lokal tannkjøttsinfeksjon som oppstår fordi visdomstannen ikke får nok plass til å bryte frem, og dermed skaper et miljø hvor bakterier trives.
Symptomer du bør ta på alvor
De mest typiske symptomene på perikoronitt er smerter og hevelse rundt visdomstannen. Smerten kan stråle til kjeven, øret eller halsen, og forverres gjerne når man tygger eller åpner munnen. Mange opplever også vansker med å gape helt, noe som kalles trismus.
Andre vanlige tegn er dårlig smak i munnen og vond lukt, som skyldes bakterievekst under tannkjøttlappen. Rødhet, ømhet og blødning i området er også hyppige funn. I mer alvorlige tilfeller kan man få feber, hovne lymfeknuter og generell sykdomsfølelse. Kronisk perikoronitt kan gi mer diffuse plager, med tilbakevendende ømhet og lett hevelse som stadig kommer tilbake. Dette kan være like belastende i lengden som et akutt utbrudd.
Symptomer på perikoronitt bør aldri ignoreres. En ubehandlet infeksjon kan spre seg til andre deler av kroppen og i sjeldne tilfeller gi alvorlige komplikasjoner. Derfor er det viktig å kontakte tannlegen så snart man merker tydelige tegn på betennelse rundt en visdomstann.
Behandlingsmuligheter hos tannlegen
Når tannlegen diagnostiserer perikoronitt, er første steg å rense området grundig. Dette innebærer å fjerne bakteriebelegg, matrester og puss som har samlet seg under tannkjøttlappen. Rensingen lindrer ofte symptomene raskt. Tannlegen kan også skylle området med desinfiserende væske og i noen tilfeller legge inn et antibakterielt middel.
Dersom infeksjonen er mer omfattende, kan antibiotika være nødvendig. Dette gjelder særlig hvis betennelsen har spredt seg eller hvis pasienten har feber. Smertelindring med reseptfrie midler som paracetamol eller ibuprofen anbefales ofte i tillegg.
For noen pasienter kan det være aktuelt å fjerne tannkjøttlappen kirurgisk for å forhindre nye episoder. Dersom visdomstannen ikke har plass til å komme helt frem, eller gir gjentatte problemer, kan det bli nødvendig å trekke tannen.
Valg av behandling avhenger av hvor alvorlig infeksjonen er og pasientens generelle helsesituasjon. Uansett er det viktig å følge tannlegens råd nøye for å oppnå varig bedring.
Hvordan forebygge perikoronitt
Forebygging handler først og fremst om god munnhygiene. Når en visdomstann er på vei frem, bør området rengjøres ekstra nøye med tannbørste og eventuelt spesialbørster som kommer til i trange mellomrom. Skylling med antibakteriell munnskyll kan også bidra til å holde bakterienivået nede.
Regelmessige tannlegebesøk er viktige for å oppdage tidlige tegn på perikoronitt. Tannlegen kan følge med på hvordan visdomstannen bryter frem, og vurdere om det er nødvendig med forebyggende tiltak. For enkelte pasienter kan det være aktuelt å fjerne visdomstannen før den skaper problemer.
Å unngå røyking og redusere sukkerinntak er også nyttig, siden begge deler øker risikoen for infeksjoner og dårlig tannhelse generelt. Ved første tegn til smerte, hevelse eller dårlig smak i munnen bør man ikke vente, men ta kontakt med tannlegen tidlig.
Med gode rutiner og oppfølging kan man i mange tilfeller unngå at perikoronitt utvikler seg, og samtidig bevare både tannhelse og livskvalitet.
Seks viktige punkter om perikoronitt:
- Årsak: Betennelsen oppstår når en visdomstann bare delvis bryter frem, noe som skaper et hulrom hvor bakterier lett samler seg.
- Symptomer: Vanlige tegn inkluderer smerte, hevelse, dårlig ånde og en vond smak i munnen.
- Komplikasjoner: Hvis ubehandlet, kan infeksjonen spre seg til kjeven og føre til feber eller mer alvorlige problemer.
- Behandling: Tannlegen kan rense området, forskrive antibiotika eller anbefale fjerning av tannen.
- Munnhygiene: God pusse- og skyllerutine reduserer risikoen for betennelse.
- Forebygging: Ved gjentatte tilfeller av perikoronitt kan trekking av visdomstannen være nødvendig.
Sammendrag
Perikoronitt er en vanlig årsak til smerter og betennelse i forbindelse med visdomstenner. Tilstanden oppstår når tannkjøttet rundt en delvis frembrutt tann blir infisert. Vanlige symptomer er hevelse, vond smak, dårlig ånde og vansker med å åpne munnen.
Behandling innebærer ofte rensing hos tannlege, god munnhygiene og i enkelte tilfeller antibiotika eller fjerning av visdomstannen. Oppsøk tannlege tidlig for å unngå at infeksjonen utvikler seg til alvorlige komplikasjoner.












